Wystawa przygotowana została przez Wytwórnię Filmów Oświatowych w Łodzi we współpracy z Biblioteką UŁ w ramach XX edycji Międzynarodowego Festiwalu Filmów Przyrodniczych im. Włodzimierza Puchalskiego, którego BUŁ jest partnerem.

Małgorzata Lisowska. Historia zapisana w ciele
W obrazie mikroskopowym życie i śmierć układają się w niepokojący spektakl – piękny i przerażający zarazem. Ruch komórek, procesy ich wzrostu i zanikania, zatrzymane w fotografii lub uchwycone w filmie, odsłaniają paradoks istnienia: by zobaczyć życie, trzeba je zamknąć w kadrze, a często także odebrać mu trwanie. Zarówno wystawa Małgorzaty Lisowskiej, jak i pokaz filmów biologicznych z archiwum WFO koncentrują się na tym napięciu, widocznym w skali mikroskopowej. W obrazach Lisowskiej komórki nowotworowe ujawniają swój dwoisty charakter – pęd do namnażania, który prowadzi jednocześnie ku destrukcji. Filmy z WFO, rejestrujące procesy w świecie mikroskopijnym, pokazują podobną dynamikę: życie i śmierć splecione w rytmie klatek filmowych. Fotografia i film stają się tu narzędziami, które pozwalają zobaczyć tę sprzeczną, ale nierozerwalną relację.
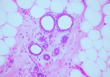
W procesie nowotworzenia ujawnia się fundamentalny paradoks – przenikanie się życia i śmierci. Nowotwórczość komórek wyraża ich dążenie życia i namnażania. Jednak to właśnie ich chaotyczny wzrost prowadzi ostatecznie do destrukcji. Z drugiej strony, śmierć komórek nowotworowych otwiera drogę do życia. Ich eliminacja przez mechanizmy obronne ciała lub interwencje terapeutyczne przywraca równowagę i umożliwia kontynuację życia. Tak oto w procesie nowotworzenia śmierć i życie wzajemnie się warunkują – tworząc nieustanny ruch przeciwieństw rozgrywający się w ciele. Zdjęcie mikroskopowe autorstwa Małgorzaty Lisowskiej przedstawiające jej własne komórki nowotworowe z biopsji, tkankę po szesnastu chemioterapiach oraz zdrowe komórki piersi po mastektomii.
Małgorzata Lisowska
Fotografka mikroskopowa. Zwyciężczyni prestiżowego konkursu Nikon Small World 2023 zdjęciem własnych komórek nowotworowych – pierwszy powrót Polski na podium po 31 latach. Autorka wystawy "Historia zapisana w ciele w trzech aktach", prezentowanej m.in. w Narodowym Funduszu Zdrowia.
Od 2020 roku ambasadorka holenderskiej organizacji Value Based Healthcare Center Europe. Współpracuje z EIT Health jako mentorka medycznych start-upów oraz programów edukacyjnych z obszaru VBHC. Wykładowczyni na studiach MBA w ochronie zdrowia, ekspertka w Instytucie Zarządzania w Ochronie Zdrowia przy Uczelni Łazarskiego. Była pacjentka onkologiczna (rak piersi, 2023).

Życie to ruch, kino to śmierć – filmy biologiczne z WFO
W Wytwórni Filmów Oświatowych w Łodzi w latach 50. i 60. XX wieku powstał szereg filmów, w których nierozerwalne splątuje się logika nauki, sztuki i kina. Twórcy pracujący w WFO byli niezwykle świadomi roli medium filmowego w pracy badawczej i jego zastosowania w poznawaniu świata. W filmach tych kluczowe kwestie teorii kina – problem ruchu i czasu oraz możliwości ukazania życia i paradoksu ciągłego uśmiercania – zarówno naukowych preparatów, jak i życia w klatce filmowej – pracują na wysokich obrotach. Mogą one być zatem niepokojące. Oglądamy piękny, ale przerażający spektakl kinowej śmierci i życia. Filmy te, chociaż tworzone jako filmy biologiczne, mikroskopokowe, naukowe i popularnonaukowe, można z powodzeniem uznać także za eksperymentalne czy awangardowe. Ich twórcy – podobnie jak filmowcy awangardowi – poszukiwali nowych środków oraz technik, aby pokazać na ekranie rzeczy, których wcześniej nikt nie pokazał. Warto wspomnieć, że filmy te otrzymywały nagrody zarówno na festiwalach naukowych, jak i eksperymentalnych, a Karol Marczak – nestor polskiego kina biologicznego – w latach 20. XX wieku mieszkał w Paryżu, gdzie był asystentem Władysława Starewicza, pioniera animacji.
Michał Matuszewski
Kurator filmowy, programer festiwali, badacz, autor, eseista filmowy. Do 2022 roku kurator kina w Centrum Sztuki Współczesnej Zamek Ujazdowski, następnie Kierownik Pracowni Eseju Filmowego w vnLab w Szkole Filmowej w Łodzi oraz współkurator Konkursu Polskich Filmów Eksperymentalnych oraz Konkursu Międzynarodowego na festiwalu Short Waves. Na Uniwersytecie Warszawskim przygotowuje rozprawę doktorską poświęconą polskim filmom przyrodniczym.
Członek jury na międzynarodowych festiwalach, m. in. w Cannes, Berlinie, Wenecji i Oberhausen. Zainteresowany nowymi mediami oraz VR a szczególnie ich aspektem instytucjonalnym oraz nie-ludzką perspektywą w kinie. Stypendysta Culture & Animals Foundation. Pracuje nad projektem wizualno-badawczym poświęconym zwierzętom w filmach. Jest stypendystą Culture and Animals Foundation. Jego ostatni projekt eseistyczny "Re-membering Topsy" był prezentowany w Muzeum Narodowym w Warszawie.

Wystawę można oglądać od 8 do 21 września 2025 w godzinach pracy Biblioteki UŁ.
